根管治療・精密審美歯科【ヒロ横浜デンタル】横浜地域で評判

メニュー

審美歯科治療の症例精密審美で美しい仕上がり

審美歯科治療 症例②

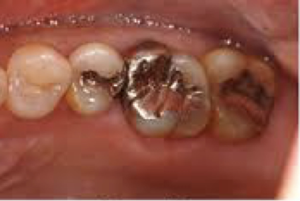
治療前
治療後

 

治療に伴うリスク

破折、色調の再現に限界があります。

アクセス

横浜駅きた西口から徒歩3分

住所:〒221-0835
横浜市神奈川区鶴屋町2-20-2田代ビル3F
TEL:045-311-8241
音声案内に従い操作してください。
院内へは、営業時間内のみ対応しております。
また診療に集中している場合は電話対応できないことがあります。

Google Mapを見る

問い合わせ
コチラをクリック

初診の方
コチラをクリック

PAGETOP