歯周病で歯を失わないために

歯周病とは?
お口の中には細菌がたくさん存在します。歯の表面に付着した「バイオフィルム」と言われる細菌の塊が歯周病の原因となります。
「バイオフィルム」を取り除くためにブラッシングをしますが、取りきれず付着したままになっていると歯ぐきが炎症をおこし、歯を支えている骨が溶けていき、やがては歯を失う怖い病気です。
ほとんど痛みを感じずに進行する為気付きにくく、また、溶けてしまった骨は元には戻らない為、進行する前に早期発見することが重要です。
歯周病と全身疾患

歯周病は「歯」だけの問題ではありません。歯周病にかかると、細菌が体内に入ることにより、全身疾患にも影響を及ぼすと言われています。
歯周病との関連を挙げられているものには呼吸器系疾患、心疾患、糖尿病や妊娠中の早産、流産などがあります。
また、糖尿病にかかると歯周病に感染しやすくなるとも言われています。
歯周病と口臭

ほとんどの口臭の原因は口の中にあります。
1つは、舌に白くついた舌苔。 もう一つは歯周病の原因菌です。
口臭の主な原因は、揮発性硫黄化合物(硫化水素やメチルメルカプタン)ですが、歯周病のばい菌は、硫化水素より悪臭の強いメチルメルカプタンを大量に産生します。ですから、歯周病の方は特有の強い口臭があります。
検査から治療の流れ
歯周病の恐ろしい点は、初期・中期には痛みをあまり感じることがなく症状がどんどん進むことです。痛みや腫れの症状が出てくるのは末期になってからで、それまではほとんど自覚症状ありません。
これがこの病気の最大の特徴で、また一番恐いところです。
そこで、きちんと磨けているか、歯周病にかかっていないか、検査しています。
緊急性のある場合は除きますが、出血が多い場合はまず、歯周病を治すところから治療は始まります。正しいブラッシングができているか確認をし、歯のクリーニングも行います。
お口の中にばい菌がたくさんあるままでは、むし歯の治療をしてもまたむし歯を繰り返す可能性があります。 また、治療の際に出血が多いと、詰め物をする時も型をとる時も、精巧にできない可能性があります。
歯周病の症状 - レベル別 -
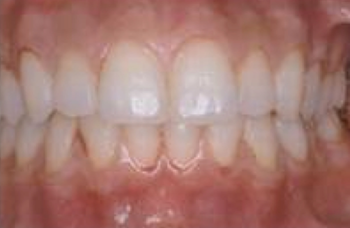
軽度歯肉炎の症状


軽度の出血が認められます。
良好な口腔衛生とプラーク、歯石の除去を適切にすることで、歯肉炎は元の健康な状態に戻ります。
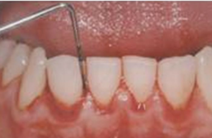
中等度歯肉炎の症状


プロービングによる、大量の出血、発赤、腫脹が特徴です。
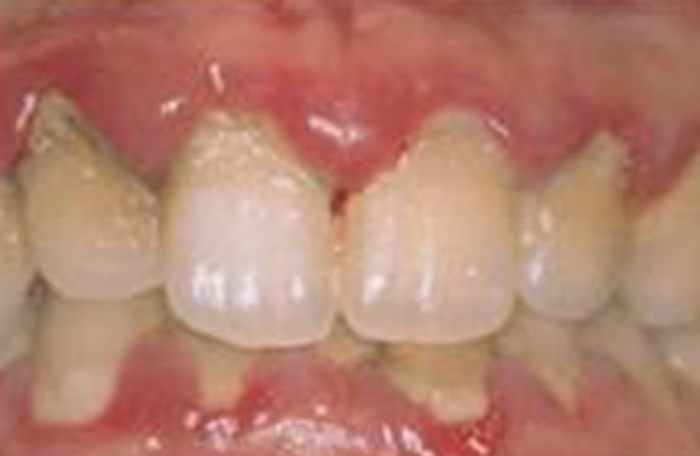
重度歯肉炎の症状


プロービングを行わなくても自然出血、発赤、腫脹が特徴です。
仮性ポケットが形成されます。歯冠側に歯肉の高さが増大します。
そして最悪の場合、歯が抜けてしまうこともあります。
歯周病で抜歯をお勧めするケース
歯周病は歯を支えている周囲の骨が溶けてしまう病気です。
歯周炎の症状は、歯肉炎の症状に加えて口臭、排膿、歯の動揺、歯肉の腫れといった症状が現れてきます。歯の動揺や排膿、腫れ、痛みなどが激しく、物を噛めなくなった場合などは、抜歯の可能性もあります。
再生療法とは

歯周病の状態によっては、初期治療だけでは治癒が見込めない場合もあります。その場合は歯肉を剥離して歯石や不良な歯肉の除去などの外科処置を行う場合もあります。
当院では、歯槽骨や歯肉などの歯周組織を再生する再生療法に関しては歯周病専門医への紹介を行っております。
治療に伴うリスク
再生療法における術後のリスクは、移植した自家骨または、人工骨が歯肉の縫合の裂開により感染することがあります。