精密根管治療のプロが
生涯、長く使える歯を守ります

Protecting your teeth for a lifetime

お知らせ
2024年12月10日 年末年始の診察のご案内

当院の理念について

理念=私たちの北極星

思いやり

ハラスメントの無い組織、⼈種、宗教、⽣まれを超えて助けを必要としている⼈にそっと⼿を差し伸べる⼈(できない⼈間に対しての気遣い。研修のドクター、及び新⼈⽼い⼈を敬う⼼。 初めて来る患者、緊張している患者を気遣う⼼。)

おもてなし

私たちヒロ横浜デンタルは患者様への⼼のこもったおもてなしと快適さを

提供することを最も⼤事な理念と⼼得ています。

あたたかい、⼼からのごあいさつを。

患者様をお名前でお呼びします。⼀⼈⼀⼈の患者様のニーズを先読みし、⽬を⾒ておこたえします。

感じのよいお⾒送りを。さようならのごあいさつは⼼をこめて。お客様のお名前をそえます。おもてなしにおいて、私たちは帝国ホテルのスタッフの考え⽅、⾏動、所作のレベルを⽬指していきます。

予防

私たちは患者様の命の源を管理しています。⽣存の欲求、⼒の欲求、⾃由の欲求、楽しみの欲求を満たし、お⼝の中から健康を考えることを推進していきます。

そして、患者様の⼀⽣涯のパートナーとして、努めます。

最後の砦

ヒロ横浜デンタルは⻭の最後の砦です。⼀本でも多くの⻭を残すとともに、最後の砦として責任と誇りを持って治療に臨みます。その為に、私たちは常に知識を更新し、最新の治療技術を習得することに時間を惜しみません。

理事長あいさつ

数多くの中から医療法人社団ヒロ横浜デンタルを選択頂きありがとうございます。ヒロ横浜デンタルはまず、二度と虫歯や歯周病にならないように予防処置を行います。

そして天然の歯を根管治療により可能な限り残します。それでも歯を残せない場合は、部分的に矯正を行い失った部分を補います。もしくは、親知らずを移植し、失った部分を補います。

それでも補いきれない場合にのみインプラントの治療を行います。

他院で抜歯が必要と言われた方が、ヒロ横浜デンタルでは約75パーセントの歯が残せる歯でした。

是非抜歯する前にご当院の門を叩いてください。

私たちは一本でも多くの歯を残し、皆様が健康な歯で一生おいしいものを食べられるようにお手伝いさせて頂きたいと思います。

医学は日進月歩を続けております。常にEBMに基づき、チーム医療で常に技術向上に努めていきます。

一生皆さんが自分の歯で食べていけるように、予防して、歯を保存していくことが願いです。

皆さんの力になれればと思っています。

理想は、虫歯がなくなって、自分の歯が全て残っている状態です。でも現状はそんなに簡単ではありません。

もしも、抜歯しなくてはいけない、根の治療をしなくてはいけない、という状況に置かれた際には、歯や神経を抜いてしまう前に、もう一度治療方法を考え直してください。

歯科治療は日々進んでいますので、さまざまな意見を聞いて慎重に検討すべきです。

経歴

創業者の思い

予約のキャンセル・
変更について

① 多くの患者様にお待ちいただいている為、直前キャンセル等は無いようご理解・ご協力をお願い致します。

② キャンセル・予約時間に間に合わない場合、なるべくお早めの連絡をお願い致します。

③ 予約のキャンセル・変更は、予約日の3日前の営業時間内までとさせて頂きます。
・ただし休診日(日曜、夏冬季・GWなどの長期休暇・その他臨時休診)は受付致しかねます。

④ お問い合わせは電話でのみ受付しております。
・歯科衛生士によるメインテナンス・クリーニングのキャンセル・変更は、予約専用センターへお問い合わせください。
・歯科医師による治療のキャンセル・変更は直接当院へお問い合わせください。

TEL:045-311-8241

(メインテナンス・クリーニングは②番・治療は③番を音声案内後に従って選択してください)

キャンセル料金について

3日前を過ぎてのキャンセルにつきましてはキャンセル料金 ¥3,000 (税別)が発生しますので、ご了承ください。

予約時間の遅刻について

予約時間から20分以上経過しても連絡がつかない・来院されない場合は、申し訳ございませんが一旦キャンセルとさせていただきます。
その場合も上記のキャンセル料金が発生しますので、ご了承ください。

当院の治療について

6つの特徴

特徴1. 根管治療の専門医院


世界基準の歯内療法により、一般的な根管治療に比べてより確実な治療が可能です。

特徴2. 精密治療(micro endo)


ほぼ全ての処置にマイクロスコープを使用し、精密な治療を心掛けています。

特徴3. 審美領域の治療に特化


技工士との連携で、審美的により優れた治療をご提供いたします。

特徴4. 予防歯科


ご自宅でのセルフケアなどの予防にも力をいれています。

特徴5. 専門医との連携


他科医療機関と連携し、患者さんの不利益にならないような診断・治療をします。

特徴6. 患者様に寄り添う


カウンセリングから治療・アフターケアまで寄り添いながら診療にあたります。

当院の診療理念について

根管治療(歯内療法)

生活歯髄温存療法

専門医による治療で神経をできるだけ残す治療を目指します。

精密根管治療

痛みのある歯もなるべく抜かずに、症状を改善し残します。

歯内療法外科

歯内療法専門医による正しい診断で安心して治療を受けていただけます。

根管治療専門医 紹介

専門医による安心の治療を提供致します。

当院の根管治療について

一般歯科治療

虫歯治療

当院では、なるべく削らず残す治療を推奨しています。

予防歯科

治療だけでなく、メインテナンスまで丁寧にご説明します。

ダイレクトボンディング

天然歯のようにキレイな歯をできるだけ削らず実現します。

歯周病治療

マイクロスコープを使用し、軽度〜重度症例まで対応します。

当院の一般歯科治療について

症例

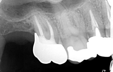
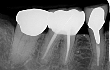
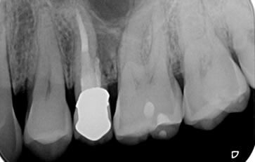
根管治療の症例

治療例1

治療例2

治療例3

根管治療の治療例を詳しく見る

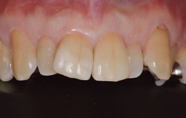
審美歯科治療の症例

治療例1

治療例2

治療例3

審美歯科治療の治療例を詳しく見る

クリニック紹介

抜歯から保存へ、治療から予防へ

皆様が一生自分の歯で食べられるよう、一本でも多くの歯を残し、予防によって治療が必要ないように努めていきます。
歯医者は痛いところ、怖い所と言うイメージを無くし、皆様がリラックスできる空間を作っています。

ドクター紹介

歯内療法認定医が在籍

予防、抜かない、痛くないを三本柱にチーム一丸となって臨んでおり、数少ない認定医もいるので適切な処置が行えます。
患者さんに安心して治療を受けていただけるように1人1人が丁寧に診療します。

ヒロ横浜デンタル 精密根管治療・精密審美歯科治療

YOUTUBEチャンネルを見る

News

お知らせ一覧

24.12.10
年末年始の診察のご案内
24.11.15
2024.12の休診日
24.10.15
2024.11の休診日
24.10.04
2024.10の休診日
24.08.23
2024.9の休診日

診療カレンダー

アクセス

横浜駅きた西口から徒歩3分

住所:〒221-0835
横浜市神奈川区鶴屋町2-20-2田代ビル3F
TEL:045-311-8241
音声案内に従い操作してください。
院内へは、営業時間内のみ対応しております。
また診療に集中している場合は電話対応できないことがあります。

Google Mapを見る

当院のコロナウイルス
感染対策について

当院では昨今のコロナウイルスの対策として、2つのことを徹底しております。
①患者様の来院時の手指の消毒
②スタッフ就業前後のうがい
また、患者様毎の滅菌パックした器具、滅菌された切削器具(タービン等)の使用は従前から行っております。
安心安全な医療のためご理解ご協力よろしくお願い申し上げます。

ヒロ横浜デンタルを
受診する患者さんへ

問い合わせ
コチラをクリック

初診の方
コチラをクリック

PAGETOP