根管治療 症例2
主訴
昨年末に治療したばかりのところが歯茎が腫れた
治療期間
2ヶ月 経過観察2年
先生からの提案
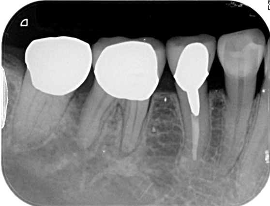
治療前のレントゲンで、腫れているところから原因の確認。
治療部位の神経が死んでしまい、腐敗したことで根っこの先に膿がたまってしまった。
根管治療を提案。
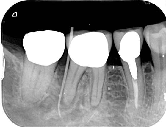
経過観察2年で症状なく良好な治癒経過を確認
| 治療前 | ![]() |
|---|---|
| 治療中 | ![]() |
| 治療後 | ![]() |
治療に伴うリスク
根管治療することにより治療の影響で一時的に痛みが強くなることがあります。


