根管治療 症例3
主訴
詰め物がとれた
治療期間
2ヶ月 経過観察2年
先生からの提案
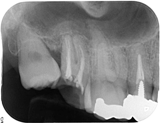
親知らずが影響しているため、根管治療と親知らずの抜歯を提案。
経過観察2年、抜歯後に補綴を行い良好な経過を確認
| 治療前 | ![]() |
|---|---|
| 治療後 | ![]() |
治療に伴うリスク
根管治療することにより治療の影響で一時的に痛みが強くなることがあります。
詰め物がとれた
2ヶ月 経過観察2年
親知らずが影響しているため、根管治療と親知らずの抜歯を提案。
経過観察2年、抜歯後に補綴を行い良好な経過を確認
| 治療前 | ![]() |
|---|---|
| 治療後 | ![]() |
根管治療することにより治療の影響で一時的に痛みが強くなることがあります。
住所:〒221-0835
横浜市神奈川区鶴屋町2-20-2田代ビル3F
TEL:045-311-8241
音声案内に従い操作してください。
院内へは、営業時間内のみ対応しております。
また診療に集中している場合は電話対応できないことがあります。