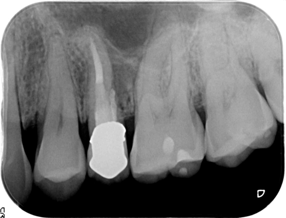
歯根端切除術
歯根端切除術は、歯根の先端の感染源を切り取り、薬を詰める治療法です。通常の根管治療だけでは治らない場合・何らかの理由で通常の根管治療が行えない場合に行います。
メリット:ご自身の歯を残せることで、歯の機能回復できる可能性があります。
デメリット:手術が必要となるため、腫れや痛みを伴う可能性があること、状況によっては抜歯・治療中断になる可能性があります。また、すべての歯に適用できるわけではなく、歯の形状や感染の程度によっては、他の治療法が適している場合もあります。

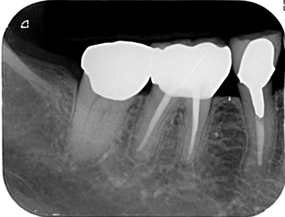
意図的再植術
意図的再植術は、歯根の先端に感染源がある場合、一度、歯を抜いてから感染源を切り取りし、再び歯を戻す治療法です。歯根端切除術と同様の治療目的ですが、歯根端切除術が適応外の部位に行います。
メリット:ご自身の歯を残せることで、歯の機能回復できる可能性があります。
デメリット:手術が必要となるため、腫れや痛みを伴う可能性があること、状況によっては抜歯・治療中断になる可能性があります。抜歯時に歯が割れる・被せ物が破損する・再植した歯が戻らない・歯根吸収するなどの可能性があります。
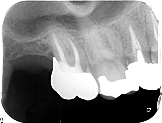
自家歯牙移植
自家歯牙移植は、抜歯が必要な歯(親知らずなど)を、歯を失った場所に移植する治療法です。自分の歯で、見た目や機能を回復することができます。
メリット:自分の歯で、見た目や機能を回復することができます。
デメリット:手術が必要となるため、腫れや痛みを伴う可能性があること、状況によっては抜歯・治療中断になる可能性があります。抜歯時に歯が割れる・移植時に歯が戻らない・歯根吸収するなどの可能性があります。

治療に伴うリスク
根管治療することにより治療の影響で一時的に痛みが強くなることがあります。
患者さんからよくある質問
患者さんから寄せられる疑問に、当院の専門医がお答えします。
1. 治療前の痛みにはどのようなものがありますか?
A:他の医院で治療を行ったのにも関わらず痛い場合など根管治療が必要な状態の痛みとしては......
2. 治療時の痛みにはどのようなものがありますか?
A:治療中は可能な限りお痛みがでないよう配慮しています。......
当院の治療成功率が高い理由
精密な治療を行うために利用する機器についてご紹介します。











