根管治療 症例1
主訴
被せ物が取れた
治療期間
3ヶ月 経過観察1年
先生からの提案
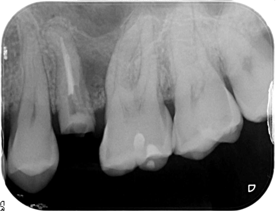
大きな穿孔(パーフォレーション)を認めるが、封鎖がきちんと行えれば根管治療にて保存可能とご提案
穿孔部をバイオセラミックにて封鎖し根管治療。経過観察1年で良好な経過と治癒傾向を確認
| 治療前 | ![]() |
|---|---|
| 治療後 | ![]() |
治療に伴うリスク
根管治療することにより治療の影響で一時的に痛みが強くなることがあります。
被せ物が取れた
3ヶ月 経過観察1年
大きな穿孔(パーフォレーション)を認めるが、封鎖がきちんと行えれば根管治療にて保存可能とご提案
穿孔部をバイオセラミックにて封鎖し根管治療。経過観察1年で良好な経過と治癒傾向を確認
| 治療前 | ![]() |
|---|---|
| 治療後 | ![]() |
根管治療することにより治療の影響で一時的に痛みが強くなることがあります。
住所:〒221-0835
横浜市神奈川区鶴屋町2-20-2田代ビル3F
TEL:045-311-8241
音声案内に従い操作してください。
院内へは、営業時間内のみ対応しております。
また診療に集中している場合は電話対応できないことがあります。