自分の歯と長く付き合うために

虫歯について
虫歯は予防できるのか?

口腔内には常に菌があります。
毎日の正しい歯磨きと、歯科医院で定期的にクリーニングをうけることで予防できます。またクリーニングをした後にフッ素を歯に塗布することによって、むし歯になりにくい丈夫な歯になります。 効果をより持続させるため、定期的にフッ素を塗布をすることをお勧めします。
当院では必要に応じてフッ素を塗布し、むし歯予防のお手伝いをさせていただきたいと思っております。
予防の大切さ・定期検診
治療が終了してからはメインテナンスに入ります。毎日の歯磨きでで落としきれていない磨き残しや、ついてしまった歯石・バイオフィルムなどを取り除いていきます。常に清潔なお口でいるためには定期的なメンテナンスが欠かせません。
メンテナンスについて

お口の中に変化がないか、しっかりと検査していきます。 磨き残しのあるところや、虫歯になりそうなところを顕微鏡・拡大鏡を使ってお伝えしていきます。
クリーニングできれいな歯を維持することができ、お口の中にいるばい菌の数を一時的に減らすことができます。
定期的なメインテナンスに来て頂くことで、虫歯と歯周病を防ぐことが出来ます。
治療例
| 治療前 | 治療後 |
|---|---|
![]() |
![]() |
歯石やバイオフィルムについて
お口の中のバイ菌(プラーク)は、「生きた菌の塊」です。
その中に歯周病を引き起こす歯周病菌が存在しているので、バイ菌を長い間溜めたままでいると歯周病にかかります。
歯石は、そのバイ菌の死骸の塊なので歯石単体では病気を引き起こす可能性は低いですが、歯石の表層はデコボコしているためその表面に歯周病菌が付着してしまいます。
歯石を取ると一時的に歯ぐきの炎症が引く場合があるため、クリーニングで歯石を除去することは大切です。
歯茎の検査

歯と歯茎の間にある溝に器具を入れて歯茎の検査をおこないます。
歯ブラシがきちんとできていないと、歯と歯茎の溝に付着したばい菌や歯石や歯垢の刺激により歯ぐきの内部に炎症がおき、歯肉からの出血、腫れがおこります。
また、長く歯の周りに歯垢や歯石が付着すると歯を支えている歯槽骨が溶けてしまい、歯がグラグラになってしまうことがあります。
1. 問診
お口の中の状態、お体の状態にお変わりがないか問診を行います。
2. お口の中のチェック
お部屋にご案内してお口の中のチェックにはいります。(レントゲンを撮ったりお口の中の記録をとります。虫歯はできてないですか?歯ぐきははれていませんか?)
3. クリーニング
専用の機器を使用してのプロフェッショナルによるクリーニングを行います。歯周病や虫歯の予防に大きな効果があるとともに、きれいな歯を維持することができます。
歯ブラシ、フロス、歯間ブラシの使い方
歯ブラシの毛先が届かない歯間部の汚れは歯間ブラシで除去します。
歯間ブラシの使い方
1. 歯間部よりやや細めの歯間ブラシを選択します。

2. 歯間乳頭を押し下げないように、歯と歯肉の境目に沿わせるように歯間ブラシを挿入します。

3. その状態で、歯間ブラシをゆっくり2~3㎜程動かしてブラッシングしてください。
※この時、歯間ブラシを大きくストロークさせる必要はありません。無理な挿入や過度のストロークは歯肉を痛める可能性があります。

フロスの使い方

切ったデンタルフロスを片方の中指に2~3回巻きつけます。両手の親指と人差し指でつまんで、デンタルフロスをピンとはってから操作します。ひとつの歯を掃除し終え、次の歯を清掃するときは、使用した部分をずらして、新しい部分で同じ操作を繰り返してください。
※ 注意点
デンタルフロスを行っていて、糸が引っかかったときは、ゆっくりと抜きましょう。詰め物が取れかかっている場合があります。また、毎回同じ箇所で引っかかる場合は、虫歯の恐れもあります。
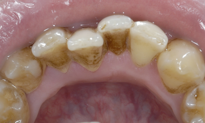
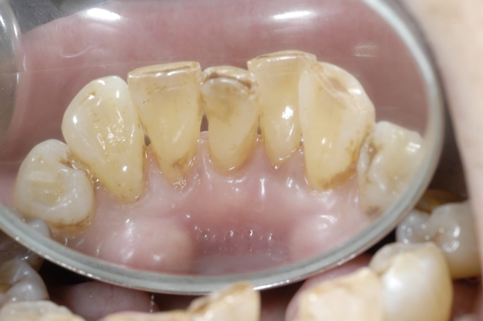
PMTC
症例1
| 治療前 | 治療後 |
|---|---|
|
|
治療に伴うリスク
一次的に知覚過敏が起こることがあります。



