根管治療 症例6
主訴
根管治療しても歯茎の腫れが治らない
治療期間
治療期間 3ヶ月 経過観察1年半
先生からの提案
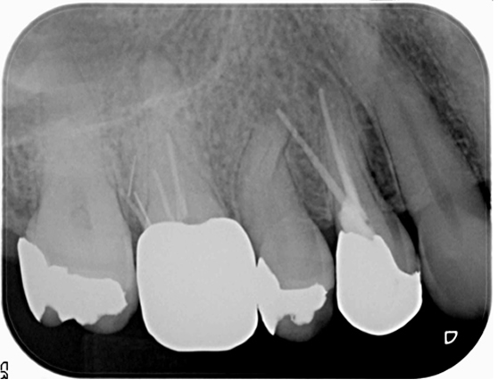
右上4番(右から2番目の歯)を再治療したが治らないとのことで来院。診査したところ、原因は右上5番(右から3番目)の歯の神経が死んでしまっていたためでした。右上5番は通常通り根管治療を行いました。
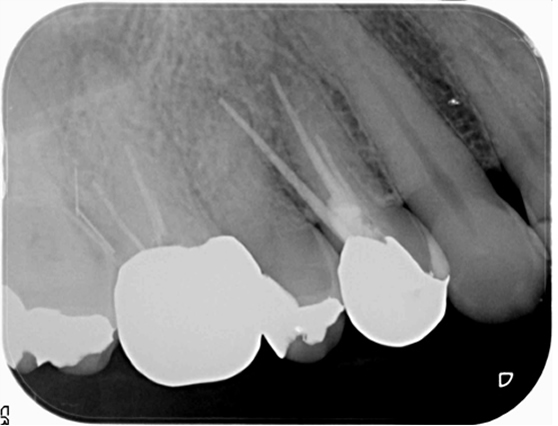
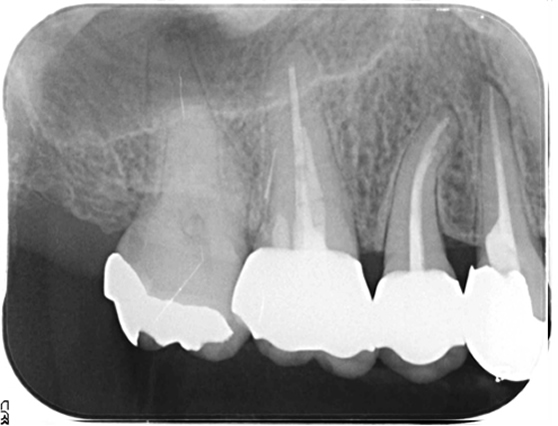
同時に右上6番に違和感を感じているとのことでしたが、右上6番には歯の横に穴があいており、破折器具が残っている状態でした。破折器具を除去し、根管治療を行いました。(骨内に残った器具は感染源となっておらず、症状が完全に消失したため外科を避けて経過観察としました。その後1年半の経過観察で良好な経過を送っています。
| 治療前 | ![]() ![]() |
|---|---|
| 治療後 | ![]() ![]() |
治療に伴うリスク
根管治療することにより治療の影響で一時的に痛みが強くなることがあります。



