根管治療 症例5
主訴
再治療しても歯茎の腫れが治らない
治療期間
治療期間 1ヶ月 経過観察4ヶ月
先生からの提案
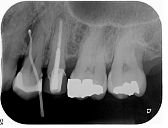
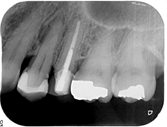
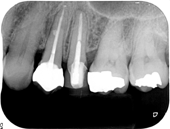
左上の5番が再治療しても歯茎の腫れが直らないとのことでしたが、当院での審査の結果、原因は左上4番(隣の歯)の神経が死んでしまっている事でした。左上4番の根幹治療を行い、その後症状は消失し経過は良好です。
| 治療前 | ![]() |
|---|---|
![]() |
|
| 治療後 | ![]() |
![]() |
治療に伴うリスク
根管治療することにより治療の影響で一時的に痛みが強くなることがあります。



