根管治療・精密審美歯科【ヒロ横浜デンタル】横浜地域で評判

メニュー

根管治療 症例根管治療 実績多数

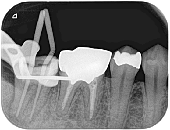
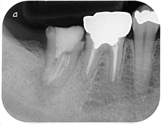
根管治療 症例8

治療前
治療中
治療後

次の症例を見る >>

 

治療に伴うリスク

根管治療することにより治療の影響で一時的に痛みが強くなることがあります。

アクセス

横浜駅きた西口から徒歩3分

住所:〒221-0835
横浜市神奈川区鶴屋町2-20-2田代ビル3F
TEL:045-311-8241
音声案内に従い操作してください。
院内へは、営業時間内のみ対応しております。
また診療に集中している場合は電話対応できないことがあります。

Google Mapを見る

問い合わせ
コチラをクリック

初診の方
コチラをクリック

PAGETOP