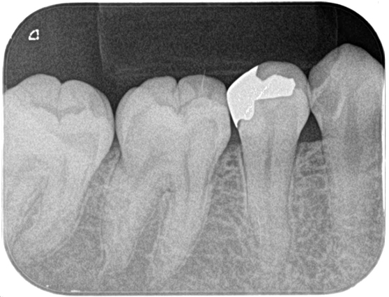
根管治療 症例9
| 治療前 | ![]() |
|---|---|
| 治療中 | ![]() |
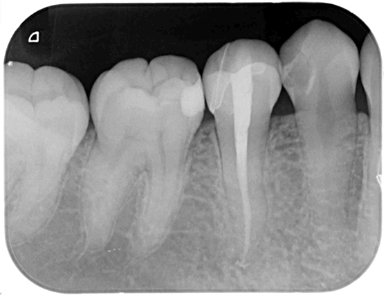
| 治療後 | ![]() |
治療に伴うリスク
根管治療することにより治療の影響で一時的に痛みが強くなることがあります。
| 治療前 | ![]() |
|---|---|
| 治療中 | ![]() |
| 治療後 | ![]() |
根管治療することにより治療の影響で一時的に痛みが強くなることがあります。
住所:〒221-0835
横浜市神奈川区鶴屋町2-20-2田代ビル3F
TEL:045-311-8241
音声案内に従い操作してください。
院内へは、営業時間内のみ対応しております。
また診療に集中している場合は電話対応できないことがあります。